Gå til hovedinnhold

Case. Tannlege Vegard Berg, Arendal, Norge

Case fra tannlege Vegard Berg. Injection moulding-teknikk (IMT) (komposittsprøyting) for minimalt invasiv rehabilitering av tenner med meget stor slitasje – med 3 års klinisk oppfølging.

Gi pasientene smil som varer

Av Tannlege Vegard Berg, Arendal, Norge

"Jeg synes denne teknikken er et nyttig verktøy i minimalt invasivt tannlegearbeid som kan gi pasientene mer tid før vi går videremed mer invasive behandlinger. Med riktig vedlikehold kan disse restaurasjonene vare forbløffende lenge, og i mange tilfeller kan behovet for mer invasive og komplekse behandlinger utsettes."

Kasusoversikt

Tannslitasje er en utbredt tilstand som både påvirker eldre ogyngre pasienter, og det er ofte et resultat av en kombinasjonav erosjon, attrisjon og tap av okklusal vertikal dimensjon. Etterspørselen etter minimalt invasive behandlingsalternativer som bevarer tannstrukturen samtidig som tennenes utseende og funksjon gjenopprettes er økende, og injection moulding-teknikken (IMT) som bruker det universelle injeksjonsmidlet G-ænial™, er en pålitelig og effektiv løsning.

I dette tilfellet brukte Dr. Vegard Berg en digitalt planlagt arbeidsflyt for å rehabilitere tennene til en 69 år gammelpasient med generell slitasje. Teknikken gjenopprettet ikkebare funksjon og okklusjon, den ga også et naturlig utseende– og de restaurerte tennene har holdt seg stabile etter tre årsoppfølging.

Injection Moulding technique case vegard berg 1.jpg
Figur 1: Klinisk presentasjon før behandling. Generell tannslitasje med tap av okklusal vertikal dimensjon.

Injection Moulding technique case vegard berg 2.jpg
Figur 2: Digitalt design av to IMT-modeller per kjeve

Injection Moulding technique case vegard berg 3.jpg
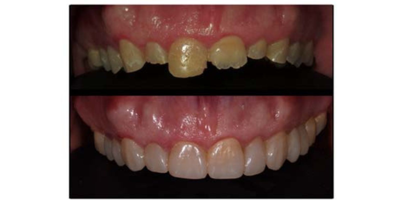
Figur 3: Før og etter behandling.

Injection Moulding technique case vegard berg 4.jpg
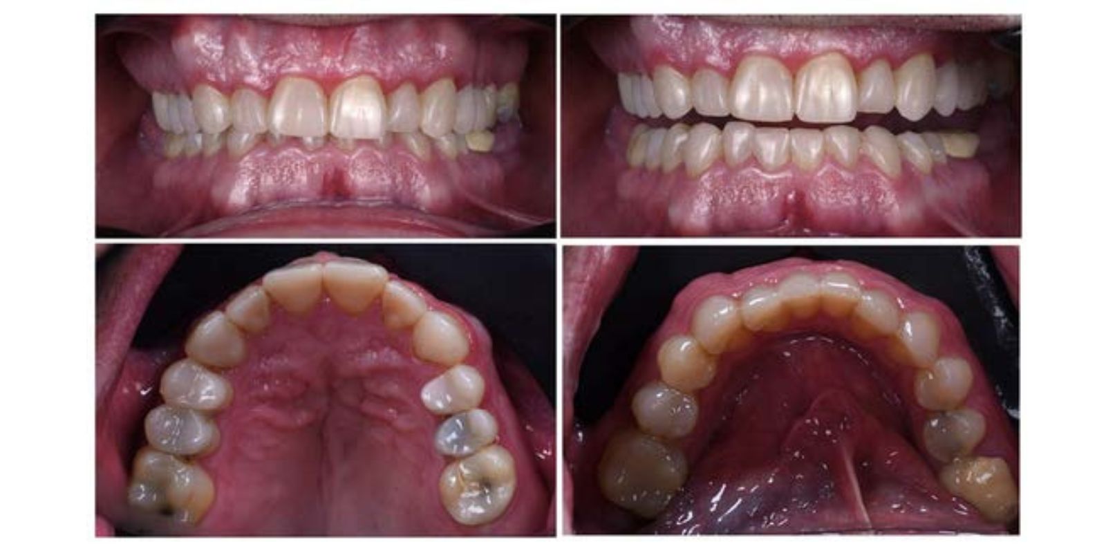
Figur 4: Resultater tre år etter behandling.

Konklusjon

Ved treårskontrollen viste det seg at komposittrestaureringene som ble utført ved bruk av det universelle injeksjonsmidlet G-ænial™ fra GC hadde holdt seg funksjonelt stabile, uten alvorlig forringelse. Kun minimalt vedlikehold var påkrevd. Det ble observert en liten avskalling på den andre fortannen (22) og lett slitasje på én tyggeknute, men dette krevde ingen intervensjon. Én oppbygging påsatt over en eksisterende krone var løsnet, men pasienten valgte å ikke erstatte den. Samlet sett holdt restaurasjonene seg godt, og den reetablerte okklusale vertikale dimensjonen (OVD) viste seg å bli godt tolerert.

Behandlingen fortsetter med regelmessige oppfølginger.

Bruken av det universelle injeksjonsmidlet G-ænial, kombinert med injection moulding-teknikken (IMT) utgjorde et effektiv, estetisk og minimalt invasiv behandlingsalternativ med langsiktig klinisk pålitelighet.

Injection Moulding technique case vegard berg 5.jpg

Tannlege Vegard Berg (IMT).JPGDr. Vegard Berg, Arendal

Han har lang erfaring fra privat tannlegepraksis, både som klinikkeier og tilknyttet tannlege. Han var ledende tannlege ved Oris Dental Stoa fra 2021 til 2025, og i denne tiden var han også styremedlem i Oris Academy. I dag (2025) er Berg medeier av Tyholmen tannlegesenter i Arendal. Berg foreleser om minimalt invasive behandlinger, smildesign og komposittbonding.

Prøv Injection moulding-teknikk (IMT) som en kostnadsfri workshop på klinikken

Injection moulding-teknikken (IMT) er en ideell tilnærming til håndtering av tannslitasje og
strukturelle skader og gjør det mulig for tannlegger å gjenopprette komplekse morfologier i både
fremre og bakre områder med utmerkede estetiske resultater. Denne workshopen presenterer en
enkel, forutsigbar arbeidsflyt som muliggjør direkte tannrestaurering med et utseende som tilsvarer
indirekte løsninger – men er raskere, rimeligere og mindre invasive for pasienten.

Læringsmål

  • Få kunnskap om mulighetene med IMT
  • Lære bruken av transparente silikonindekser
  • Mestre injeksjonsprotokollen for bruk av det universelle injeksjonsmidlet G-ænial
  • Lære avsluttende teknikker og poleringsteknikker som gir langsiktig
    suksess
  • Bruke arbeidsflyten på tenner både foran og bak i munnen

LES MER HER

stripegrey.jpg

Du kan også lese mer om

Injectable Moulding teknikk

Diastema mediale kan for noen pasienter være en estetisk utfordring. Ulike behandlingsmetoder er tilgjengelige for lukking av diastema. Riktig valg av materiale og metode er av stor betydning for et vellykket behandlingsresultat. En behandlingsplan bør inneholde mange ulike elementer.
Les mer

Den nye generasjon glassionomerteknologi

Glassionomerer er enkle å applisere (vanligvis i ett lag, «bulk»), herdes ganske raskt og er lette å polere etterpå. Påføring av en coating (f.eks. Equia Coat fra GC) forbedrer både glatthet og estetikk, men øker også slitasjemotstand og trykkfasthet. Se case.
Les mer

Reparasjon av frakturer

Fraktur i en krone fremstilt etter alle kunstens regler kan forekomme uten en god forklaring. Det er mulig å reparere fraktur intraoralt med enkle hjelpemidler. Vi loser deg gjennom, se trinn for trinn for ulike materialer.
Les mer