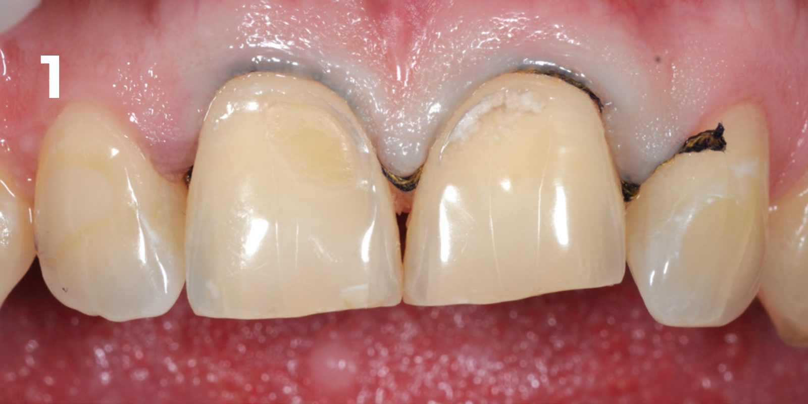
En frisk mannlig pasient på 42 år ønsket rekonstruksjon av sine sentralincisiver, som var sterkt nedslitt. Klinisk kasus av Irfan Abas

lrfan Abas er spesialist innen oral implantologi og restaurativ odontologi, samt en internasjonal foredragsholder på dette fagområdet.
Han har holdt mer enn 20 presentasjoner, workshops og live-kurs i kirurgi over hele verden. TP - et
nederlandsk tidsskrift for tannleger, hvor han også er redaktør - har publisert flere artikler under hans navn.
Et annet høydepunkt er en publikasjon i NTvT, skrevet i samarbeid med professor Gert Meijer (Radboud UMC). Under hans veiledning fullførte Abas i 2014 et fireårig postdoktoralt program i rekonstruktiv odontologi. Han er også instruktør og foreleser for MIE og leder for MINEC Nederland. lrfan Abas driver sin egen praksis i Bussum, Nederland.


Forbehandling

Etter at mock-up var laget, ble det preparert spor gjennom mock-upen.

For å tilpasse to fasetter i litiumdisilikat var det nødvendig med en preparasjon på 1 mm. Etter at mock-upen ble fjernet, ble preparasjonen perfeksjonert

Kontroll av plass ved hjelp av en silikonindeks

Endelig preparering (frontalvisning)

Midlertidige fasetter laget av et midlertidig resinbasert materiale (Protemp)

Punkt-etsing før sementering av de midlertidige fasettene

En liten mengde flytende kompositt påført på de etsede overflatene

Lysherding av hele overflaten på de midlertidige fasettene

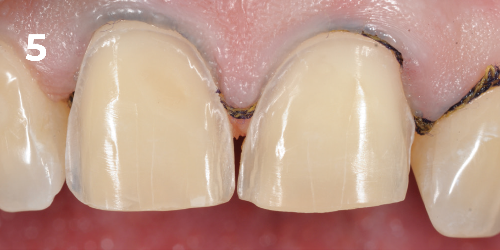
Ferdige midlertidige fasetter

Fasettene fremstilt av tannteknikeren

Kontroll av passformen til fasettene

Kofferdam lagt for å muliggjøre kontrollert adhesiv sementering

Etsing med 35 % fosforsyre (K-Etchant sprøyte) i 10 sekunder

Behandling med selvetsende primer PANAVIA™ V5 Tooth Primer (virketid 20 sekunder)

Etsing av litiumdisilikatfasettene med hydrogenfluorid

CLEARFIL™ CERAMIC PRIMER PLUS (MDP-silanprimer) påført på fasettene

Fasettene festet til et innsettingsinstrument før endelig sementering

PANAVIA™ V5 Paste påført den indre overflaten av fasetten

PANAVIA™ V5 Paste fordelt jevnt over fasetten

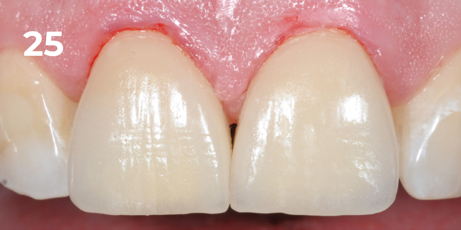
Fasetten satt på plass og overskuddsmateriale fjernet

Lysherding (minimum 10 sekunder)

Umiddelbart etter adhesiv sementering med PANAVIA™ V5

Umiddelbart post-op

Umiddelbart post-op

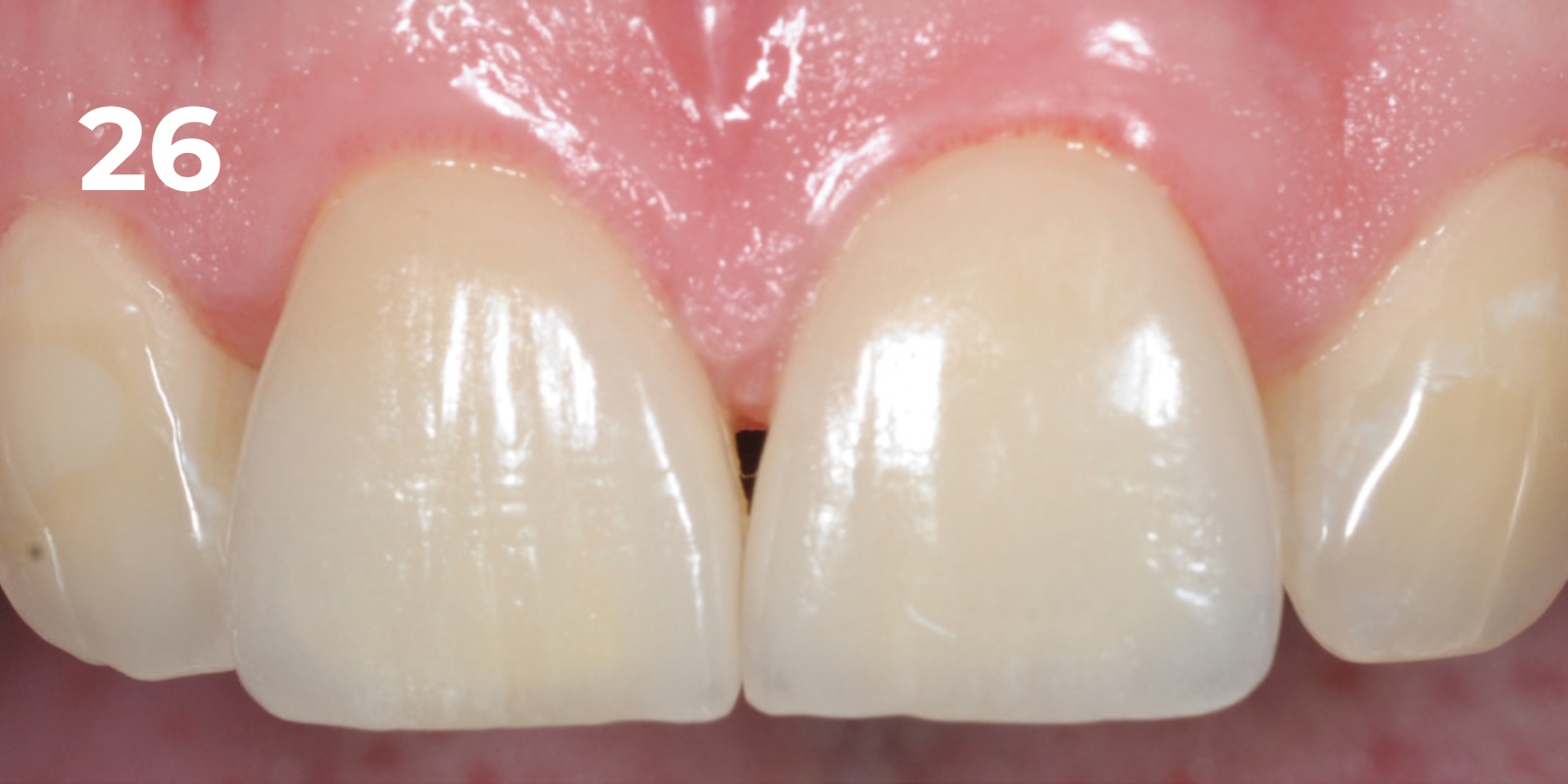
To måneder post-op

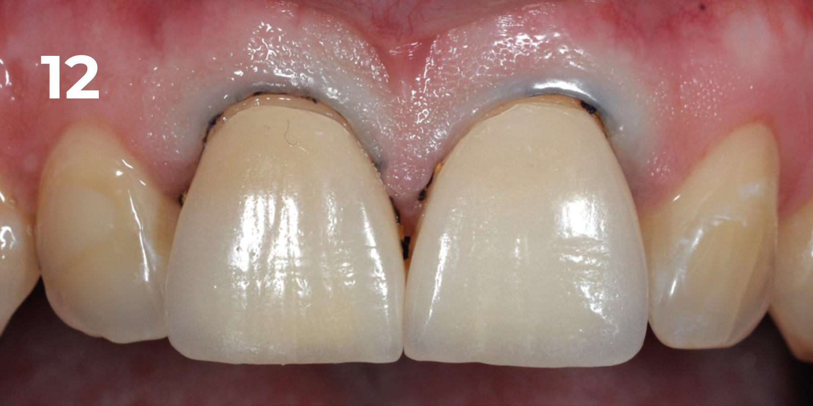
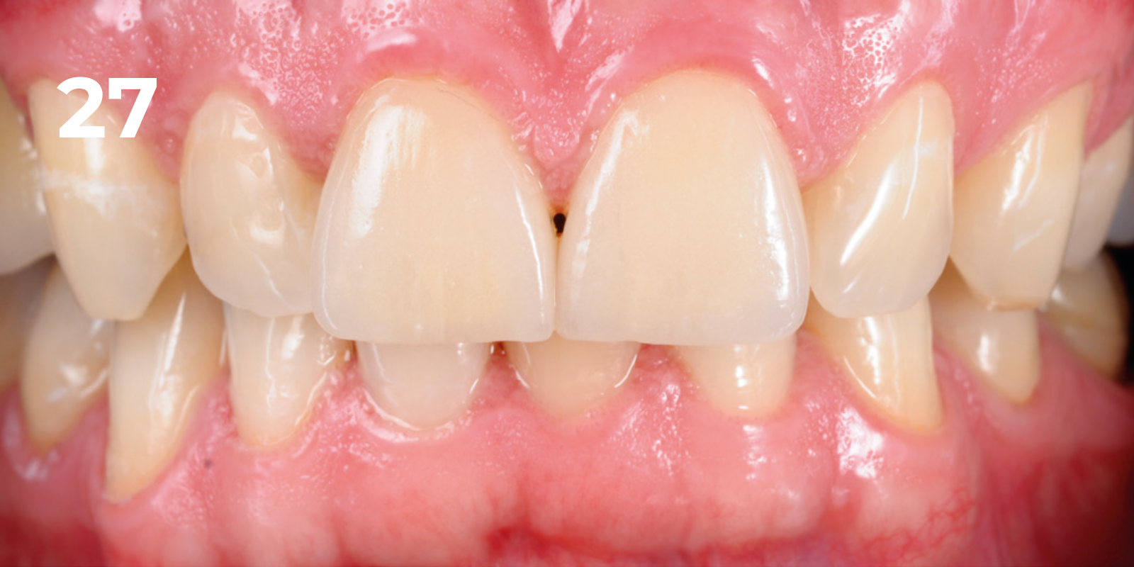
Ett år post-op

Ett år post-op
![]()
