Et Case fra tannlege Jonathan Wiberg

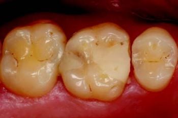
Pasienten hadde en defekt MOD-restaurering på tann 16 med åpen mesialkontakt og sekundær karies distalt (Fig. 1).
Hun rapporterte matansamling og ising. Behandlingsplanen var å erstatte restaureringen med en ny direkte kompositt.
Etter isolering med kofferdam og pre-kiling ble den gamle restaureringen fjernet med diamantbor under vannkjøling. Kaviteten ble renset og behandlet med 27 μm aluminiumoksid via luftabrasjon. Siden kuspene var >2 mm, var kuspedekke unødvendig (Fig. 2).
Et seksjonsmatrisesystem konverterte kaviteten til klasse I, noe som ga bedre tilgang og kontroll. Hele kaviteten ble etset med 35 % fosforsyre, deretter behandlet med GC G2-BOND Universal (primer og bond) før lysherding.

Figur 1 venstre: Tann 16 med sviktende komposittrestaurering, åpen kontakt luftabrasjon og tilbakevendende karies.

Figur 2: Ferdig kavitet etter partikkelbasert luftabrasjon.
Approximalflater ble bygd opp med GC G-ænial A’CHORD A2 (Fig. 3), og dentin ble erstattet med GC everX Flow Dentin for styrke og dybde. Den okklusale emaljen ble lagt inkrementelt med GC G-ænial A’CHORD A2 og modellert med mikrobrush og GC Modeling Liquid.
Til slutt ble GC OPTIGLAZE A+ brukt i fissurer for tredimensjonalt utseende (Fig. 4). Etter polering med gummispiralpolerer oppnådde restaureringen høy glans. Kontroll viste korrekt okklusjon uten behov for justering, og pasienten rapporterte ingen postoperativsensitivitet (Fig 5).

Figur 3 venstre: Oppbygging av proksimale vegger etter plassering av matrisesystem og bondingprosedyre.

Figur 4: Emaljeoppbygging med nøyaktig tilpasning og etterligning av naturlig anatomi samt påføring av overflatetoner (GC OPTIGLAZE A+) i fissurer.

Figur 5: Kontroll av okklusjon og artikulasjonsbevegelser etter fullført restaurering.
Referanser
- Lassila L, Keulemans F, Säilynoja E, Vallittu PK, Garoushi S. Mechanical properties and fracture behavior of flowable fiber reinforced composite restorations. Dent Mater. 2018 Apr;34(4):598–606. DOI: 10.1016/j.dental.2018.01.002
- Atalay C, Koc Vural U, Tugay B, Gurgan S. Surface Gloss, Radiopacity and Shear-Bond Strength of a Newly Marketed Universal Nanohybrid Composite Resin. 2021. 98th General Session & Exhibition of the IADR.2278.
- Satoshi J, Daiki M, Futoshi F. Esthetic and Mechanical Durability of Direct-Filling Resin Composite. 2022. 51st Annual Meeting & Exhibition of the AADOCR. 46th Annual Meeting of the CADR. Presentasjon ID:0367


